Cambridge, MD
(410) 228-5445
Schedule Appointment
New Patients
Home
About Us
Meet the Dentists
Meet Dr. Todd
Meet Dr. Bhatt
Meet the Team
Tour Our Office
Smile Gallery
Dental Technology
Digital X-rays
Laser Dentistry
Blog
Services
Preventive Dentistry
Periodontal Disease
Periodontal Diagnosis
Periodontal Treatment
Periodontal Maintenance
Restorative Dentistry
Composite Fillings
Dental Crowns
Dentures
Dental Bridges
Dental Implants
Implant Dentures
Bone Grafting
Cosmetic Dentistry
Teeth Whitening
Veneers
Botox for TMJ
Aesthetic Dentistry
Smile Analysis
Spark Clear Aligners
Sedation Dentistry
Sleep Apnea Treatment
Functional Dentistry
Minimally Invasive Dentistry
TMJ Treatment
Emergency Dentistry
Tooth Extractions
Root Canal Treatment
Children’s Dentistry
For Patients
Patient Forms
Insurance & Financing
Make a Payment
In-House Savings Plan
Special Offers
FAQs
Resource Links
Reviews
Contact
Office Info
Request an Appointment
Dentist Near Easton
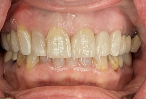
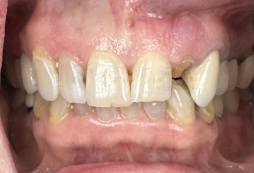
Smile Gallery Cambridge
See the Amazing Results We Can Achieve
More to Explore
About Us
Meet the Dentists
Meet the Team
Tour Our Office
Dental Technology
View Our Services
Request
an Appointment
Call
Us
View
Map
Download
Forms
Follow
Us
Read
Reviews